Every time you run your tongue across your teeth and feel that slightly fuzzy film, you’re encountering dental plaque. It’s one of the most common oral health concerns, yet many people don’t fully understand what it is or why it matters. Understanding plaque is your first step towards protecting your smile and preventing serious dental problems down the line.
Dental plaque is a sticky, colourless biofilm of bacteria that constantly forms on your teeth. Unlike simple dirt or food residue, plaque is a living, structured community of microorganisms that adheres to tooth surfaces, particularly along the gum line and between teeth. This biofilm consists of multiple layers of bacteria living together in an organised structure, creating a protective environment that shields them from your saliva’s natural cleaning action.
Your mouth is home to over 700 species of bacteria, and plaque is where many of them congregate. This biofilm comprises bacterial colonies, proteins from your saliva, food particles, and cellular debris. When you eat foods containing sugars and starches, these bacteria feast on them, multiplying rapidly and producing acids as a waste product. That fuzzy feeling you notice on your teeth after several hours without brushing? That’s plaque accumulation at work.

Plaque formation begins immediately after you brush your teeth. Within minutes, a thin protein film called the pellicle forms on your tooth enamel from components in your saliva. Bacteria quickly attach to this pellicle, beginning colonisation within just a few hours. As more bacteria arrive and multiply, they form a structured biofilm that becomes increasingly difficult to remove. If left undisturbed, a mature plaque biofilm can develop within 24 hours of your last thorough brushing.
Certain factors speed up plaque accumulation significantly. Consuming sugary drinks, sweets, and starchy foods provides abundant fuel for bacterial growth. Poor brushing technique or skipping areas of your mouth allows plaque to mature undisturbed. Neglecting to floss means bacteria thrive between teeth where your brush can’t reach. Dry mouth conditions reduce saliva flow, which normally helps wash away food particles and bacteria. Some medications that cause dry mouth can inadvertently contribute to increased plaque formation.
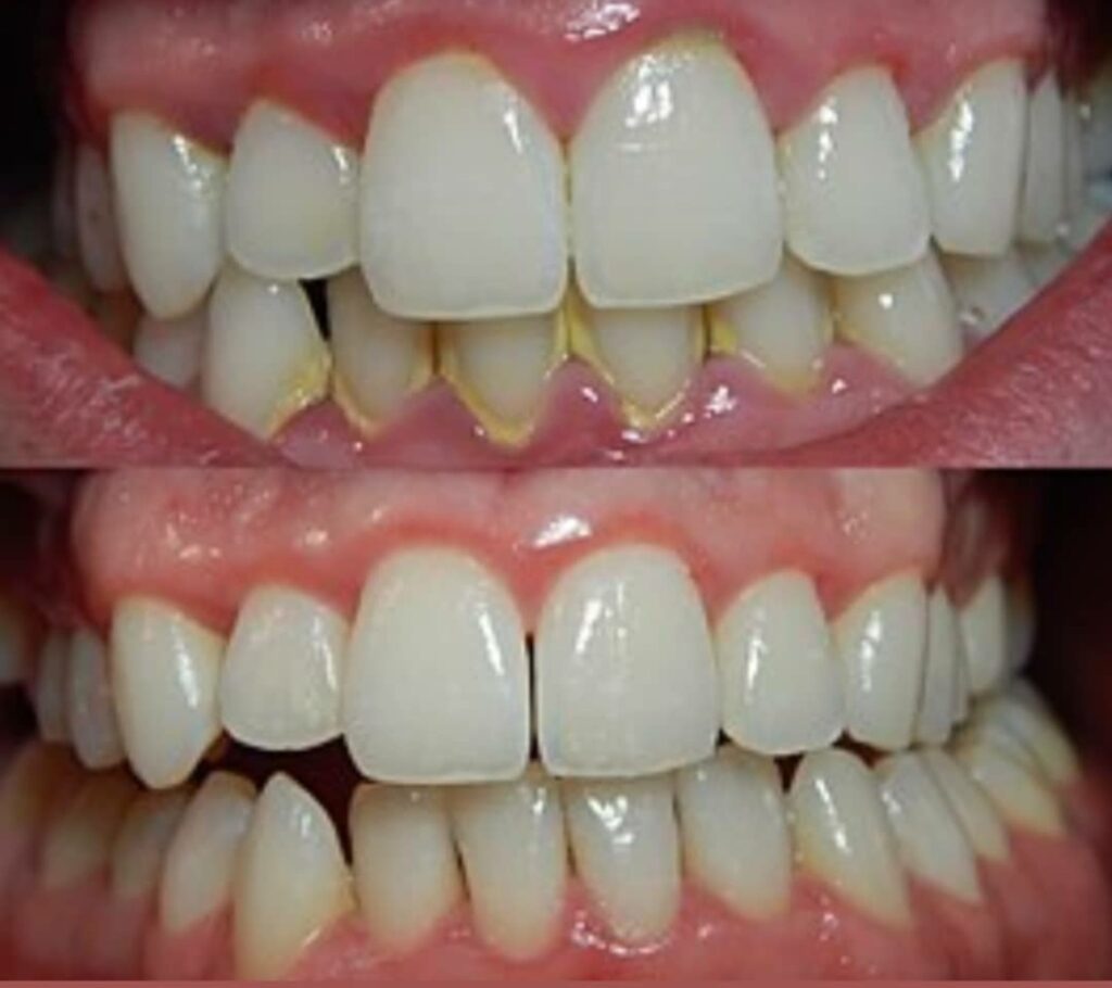
Many people confuse plaque with tartar, but they’re distinct stages of the same problem. Plaque is soft and can be removed with proper brushing and flossing at home. However, if plaque remains on your teeth for 24 to 72 hours, minerals in your saliva cause it to harden, which then becomes tartar. Tartar, also known as dental calculus, is a result of tartar build up over time. It is important to distinguish between plaque and tartar because each affects oral health differently and requires different approaches for prevention and removal. Once formed, tartar and hardened plaque cannot be removed by brushing alone and require a professional cleaning. Tartar appears as yellow or brown deposits, typically along the gum line, and provides an even better surface for new plaque to accumulate, creating a vicious cycle.
When plaque bacteria consume sugars, they produce acids that attack your tooth enamel. These repeated acid attacks gradually erode the protective enamel layer, creating weak spots that eventually become cavities. Without intervention, decay progresses deeper into the tooth, potentially reaching the sensitive pulp and causing severe pain or infection.
Plaque accumulation along the gum line triggers inflammation, causing your gums to become red, swollen, and prone to bleeding when you brush. This initial stage, called gingivitis, is reversible with improved oral hygiene. However, if plaque continues to accumulate, it can progress to periodontitis, a serious infection that damages the soft tissue and bone supporting your teeth, potentially leading to tooth loss.
Plaque’s impact extends beyond oral health. The bacteria produce foul-smelling compounds that cause persistent bad breath (halitosis). Emerging research also suggests connections between oral bacteria and systemic health conditions, including cardiovascular disease, with some studies indicating that bacteria from gum disease may enter the bloodstream and contribute to inflammation elsewhere in the body.
The foundation of plaque control is consistent oral hygiene. Brush your teeth twice daily for two minutes using fluoride toothpaste, ensuring you reach all tooth surfaces and along the gum line. Floss once daily to remove plaque from between teeth where bristles cannot reach. Consider using an antibacterial mouthwash to reduce bacterial levels, though this should complement, not replace, brushing and flossing.
Electric toothbrushes often remove plaque more effectively than manual brushing, particularly for those with limited dexterity. Interdental brushes work excellently for cleaning larger gaps between teeth. Tongue scraping removes bacteria from your tongue’s surface, reducing overall bacterial load. Chewing sugar-free gum containing xylitol after meals stimulates saliva production and may inhibit bacterial growth. Limiting sugary and starchy foods reduces the fuel available for plaque bacteria, whilst staying well-hydrated promotes healthy saliva flow.
Even with excellent home care, regular dental check-ups every six months remain essential. Professional cleanings remove tartar that’s accumulated despite your best efforts, whilst your dental hygienist can identify areas you’re missing and refine your technique. A dental professional is required to remove tartar and assess your oral health thoroughly. It is important to visit your dentist regularly for check ups and cleanings to maintain optimal oral health and prevent plaque build up. Your dentist can also spot early signs of plaque-related damage and recommend treatments like fluoride applications to strengthen your enamel.
Dental professionals are trained to accurately identify and treat plaque and tartar build up, ensuring that any issues are addressed before they progress.
The clinical effectiveness of professional dental treatments, such as cleanings and fluoride applications, has been shown to significantly reduce the risk of oral diseases. Scheduling a dental check up allows for a thorough cleaning and assessment that cannot be achieved through home care alone.
The Cleveland Clinic, a trusted leader in healthcare, underscores the critical role of good oral hygiene in preventing dental plaque and its associated problems. Their experts recommend brushing your teeth at least twice a day with fluoride toothpaste, which is proven to help remove plaque and protect against tartar build up. Consistent brushing not only keeps your teeth clean but also helps prevent gum disease and supports long-term oral health.
In addition to brushing, the Cleveland Clinic advises daily flossing to reach areas between teeth where plaque bacteria and food particles can hide. Using an antiseptic mouthwash can further reduce plaque and help maintain a healthy balance of bacteria in your mouth. These simple steps, when practiced regularly, are highly effective in controlling plaque build up and reducing your risk of developing gum disease or other dental issues.
By following these evidence-based recommendations, you can take charge of your oral hygiene and keep your smile healthy. Remember, maintaining good oral hygiene habits is your best defence against dental plaque and the complications it can cause.
Several indicators suggest plaque is accumulating. The most obvious is that fuzzy, rough feeling when you run your tongue across your teeth. You might notice a film that can be scraped off with your fingernail. Persistent bad breath, even after brushing, often signals significant bacterial presence. Gums that bleed when you brush or floss indicate inflammation from plaque irritation. Visible yellow or brown deposits, particularly along the gum line, mean plaque has already hardened into tartar. If you experience any of these signs, schedule a dental appointment promptly.
Many misconceptions surround dental plaque. Some believe plaque only affects people with poor hygiene, but everyone develops plaque constantly good hygiene simply prevents harmful accumulation. Others think clean-looking teeth mean no plaque, yet this colourless biofilm is invisible in its early stages. Mouthwash alone cannot prevent plaque; mechanical removal through brushing and flossing is irreplaceable. Finally, baby teeth absolutely need plaque management, as decay in primary teeth can affect developing permanent teeth and cause significant pain. So what is plaque? In short, it’s the nasty build up from not keeping up with your dental hygiene.
Dental plaque is a natural, constant presence in your mouth, but it’s entirely manageable with consistent care. By brushing and flossing daily, making smart dietary choices, and maintaining regular dental visits, you can prevent plaque from causing cavities, gum disease, or other oral health problems. If you’re overdue for a dental check-up, now is the perfect time to book an appointment. It’s advised that once a year, you see a hygienist who can perform an airflow, a high-powered, stain-removing procedure that can help keep your teeth shining. Your future smile will thank you for the attention you give it today. Get in touch with us today to see Sophie our hygienist.
Back to Blog“Great service throughout and friendly staff! Had composites from Anita and big shout out to nurse Susan who didn’t suck...”
“I have always been nervous of going to the dentist, but Anita was fantastic throughout my Invisalign treatment, everything was...”
“For someone who is scared stiff of the dentist today’s visit was a very pleasant experience. Anita & Molly are...”
“I am a nervous patient and Anita had patience and made me feel at ease. Both the dentist and assistant...”
“Great!”
“Really pleased with Pravin and Susan. Throughly recommend, Pravin went above and beyond for my comestic dental treatment and Susan...”
“I am so pleased and so glad. I got the chance to have it done by Church Street. Anita and...”
“I have always been nervous of going to the dentist, but Anita was fantastic throughout my Invisalign treatment, everything was...”
“Best dental practice around! I had my Invisalign treatment here and can't fault my results 😁 Staff are so lovely...”
“I've been going to Church Street Dental Practice a year or 2 now and I wouldn't go elsewhere. The service...”
“I couldn’t recommend CSDP any higher. Enquired about Invisalign when I first joined and to see my teeth after the...”
“I have recently visited Church Street Dental Practice and the service provided from all the staff there was incredible. With...”
“I have had composite bonding on 8 of my teeth by Anita and I couldn’t be happier! Exactly how I...”
“Would highly recommend Church Street Dental especially my dentist Jonny for giving me back my smile. As a nervous patient...”
“I have recently joined this practice after being on a long waiting list. I’m a very nervous patient due to...”
“I knew one day I’d need A LOT of dental work doing and had no idea where to start with...”
“We are are new to this dentist as ours closed down and we are so pleased with church street. Our...”
“I attended today for 2 fillings- as someone who hates going to any dentist I wasn’t looking forward to my...”
“Possibly the best dentist I’ve had if I’m totally honest , not only does the practice look amazing, the waiting...”
“I have just finished a round of treatment which consisted of whitening, new crowns and composite bonding with Anita. I...”
Discreet cosmetic dental treatments.
Learn MoreAsk about Invisalign’s tailored treatment plan.
Learn MoreSubtle cosmetic treatments tailored to suit you.
Learn MoreDental crowns - an effective substitute for your smile.
Learn MoreDental crowns - an effective substitute for your smile.
Learn More
Church Street Dental Practice, 10 Church Street, Houghton le Spring, Durham, DH4 4DN. Telephone 0191 584 3247. CSDP (UK) Ltd trading as Church Street Dental Practice is a credit broker not a lender and is authorised and regulated by the Financial Conduct Authority, 840271. Registered in England & Wales 07257396. Registered Address: 10 Church Street, Houghton le Spring, Durham, DH4 4DN.